
Salve a tutti, sono il Dott. Lorenzo Mazzola Primario Chirurgo dell’Ospedale di Lanciano. Innanzi tutto mi scuso con tutti voi e con l’amico
Stefano per il ritardo imperdonabile (perdonabile in realtà per la pesante e particolare attività ospedaliera, n.d. daddy), con il quale mi sono accinto a scrivere. Stefano mi ha assegnato il compito di scrivere del rapporto che c’è tra palestra e due frequenti patologie di interesse chirurgico : l’ernia e le varici degli arti inferiori. 
Cercherò di essere semplice e chiaro. Chi frequenta la palestra o si dedica ad altre attività motorie o sportive sa che facendo esercizi per tonificare gli addominali sollevando pesi o facendo altri sforzi a glottide chiusa (trattenendo il respiro), determina un aumento della pressione all’interno della cavità dell’addome. Infatti i muscoli della parete addominale in posizione di riposo sono rilassati e la pancia assume un aspetto più o meno afflosciato, mentre quando si contraggono, l’addome si appiattisce e rientra; d’altra parte il muscolo diaframma che separa i polmoni dai visceri addominali spinge questi in basso quando tratteniamo il respiro.

La combinazione della spinta in basso del diaframma ed in dentro dei muscoli addominali crea una pressione sugli intestini e sulle vene che portano il sangue al cuore provenienti dall’addome stesso e dagli arti inferiori.
Vediamo ora come questo aumento di pressione interagisce con le due patologie

suddette, ernie e varici.
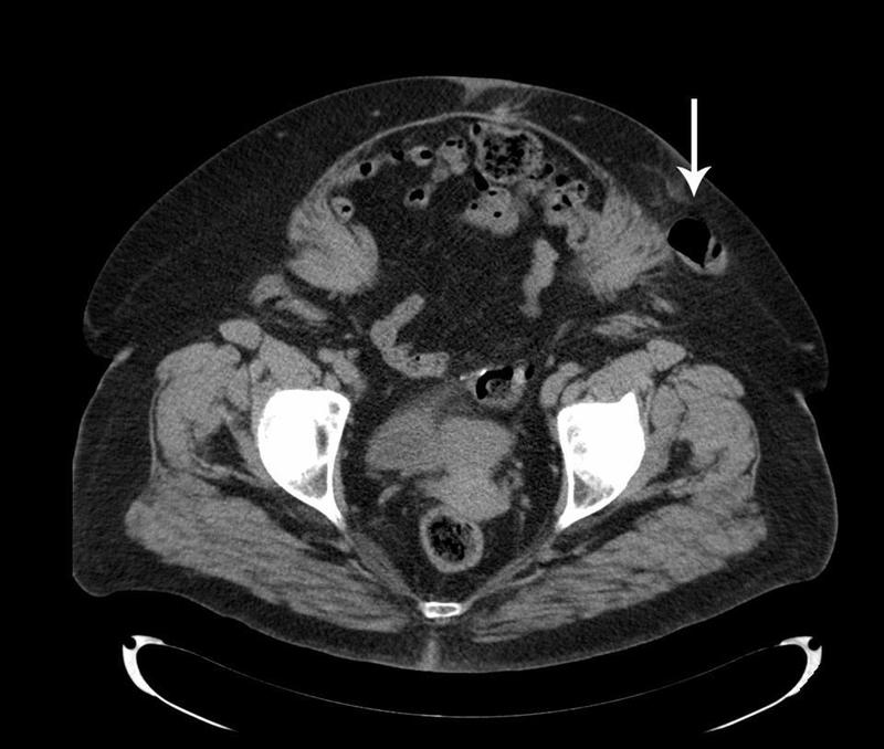
Ernia inguinale, crurale (femorale), laparocele (ernia su pregressa cicatrice chirurgica).
La cavità addominale è come un grosso sacco che contiene tutti i visceri (intestino fegato milza grasso ecc ecc). L’ernia non è altro che un punto di debolezza di tale sacco che non riesce piu a tenere i visceri, pertanto questi sporgono esternamente assumendo a

volte delle dimensioni cospicue. Il nome di un’ernia deriva dalla sede anatomica dove si forma (inguinale, crurale, laparocele o ernia su cicatrice chirurgica). La pressione aumentata spinge i visceri addominali verso l’esterno provocando l’aumento di dimensioni dell’ernia stessa ed il suo possibile incarceramento (impossibilità di riportare l’ernia in addome ). Non ci sono “cinti “ che tengano perché questa pressione raggiunge picchi veramente alti. 
Varici degli arti inferiori: le vene sono dei canali molto importanti
che riportano il sangue, ormai poco ossigenato, dai tessuti verso il cuore. All’interno delle vene il sangue scorre in una sola direzione perché ci sono delle delicate valvole a “nido di rondine” che ne impediscono il reflusso. Quando queste valvole sono deboli per motivi genetici o vengono danneggiate da flebiti (infiammazioni delle vene), non assolvono più la loro funzione ed il sangue ristagna perifericamente nei punti più declivi come le caviglie e le gambe. Oltre al problema estetico, col tempo si forma un edema (gonfiore) cronico che alla lunga porta a malnutrizione della cute con successiva fragilità ed ulcere della stessa.
La pressione all’interno dell’addome schiaccia le grosse vene che sono al suo interno (vena cava inferiore e vene iliache, la cui pressione è di soli pochi mm. di mercurio ). Il sangue che tornando dagli arti verso il cuore deve passare attraverso queste vene, viene bloccato per lo schiacciamento di queste e trasmette la pressione dell’addome a tutte le altre vene a valle. Questa pressione aumenta nei soggetti con varici il reflusso di sangue e l’aggravamento delle varici stesse.
Consigli : se possibile prima di intraprendere una attività sportiva sarebbe bene farsi operare di ernia o di varici anche perché da un bel po’ è possibile farlo in Day Surgery (chirurgia di un giorno) senza passare la notte in ospedale. Entrambi gli interventi sono semplici, non dolorosi e prevengono complicanze come lo strozzamento dell’ernia, con necessità quindi di intervento di urgenza, o le flebiti e le flebotrombosi con possibili embolie polmonari, spesso molto serie.
daddydoctorgym.com il sito dove trovare alcuni consigli per il buon uso della palestra e la donazione di sangue
Grazie Lorenzo, il tuo contributo conferma e giustifica la bontà dei consigli che si danno agli Amici della palestra, e non solo, per sistemare una situazione anatomica patologica che fà conflitto con l’attività motoria espletata in una palestra, tanto più quando si desiderano eseguire performance sportive di un certo livello. Con gratitudine, daddy.
Thanks for making such a valuable blog, sincerely Kobos Mathers.
Many thanks to you, from daddydoctorgym.
Great site. A lot of useful information here. I’m sending it to some friends!
salve dottore ho letto il suo articolo(Ernia inguinale, crurale (femorale), laparocele) e le volevo se possibile fare una domanda. circa 15 anni fa’ o forse più ho avuto una distorsione alla caviglia sx. al momento dell’ infortunio non l’ho curata e dopo non ho avuto più problemi. circa 5 anni fa’ ho iniziato ad avvertire un po’ di dolore a livello della caviglia regione tibio tarsica, ed ho iniziato a fare terapia senza nessun esito ora da un paio di anni a questa parte sto avendo un dolore a volte molto fastidiodo all’inguine sx. poi la sera mi ritrovo molto spesso con un edema e la caviglia gonfia. non riesco ad indossare calzini o calze elastiche e mi danno fastidio spesse volte gli slip. mi puo’ cortesemente favorire di un suo consiglio, se necessario la vengo a trovare grazie. raffaele
Carissimo Sig. Raffaele, molto probabilmente stiamo parlando di una cruralgia per malappoggio plantare da problemi alla caviglia.
https://www.daddydoctorgym.com/medicina/cruralgia-432.html
Questo è il link all’articolo complementare ai tuoi problemi. Cosa farei? Subito riferire tutto al tuo Medico di medicina generale per
1) l’edema di caviglia richiede un eco-doppler venoso? E’ la cosa principale, se il quadro è dubbio.
2) C’è un’ernia inguinale o femorale?
3) Il giudizio di un Ortopedico con un esame Rx caviglia recente. Auguri. Ci risentiamo quando vuoi, ddg.
Egregio dottore la ringrazio vivamente per la sua celere risposta è stato a dir poco gentilissimo. Di quello che ha scritto lei ho già fatto tutto ho eseguito vari ecocolordoppler con dei risultati negativi anzi il dottore mi invitava ad usare una calza elastica per ridurre l’edema che secondo me era la cosa più sbagliata, anche perchè indossandola non trovavo mai giovamento ma solo fastidio. Indossando la calza elastica dopo circa un’ora avvertivo un fastidio al testicolo sx e dietro al gluteo nella zona ichio crurale (non so se è scritto giusto).Inoltre ho eseguito una visita per vedere se c’era un’ernia inguinale ma è stato tutto inutile il dottore mi ha detto che era tutto a posto dalla risonanza mi risultava una protusione discale L5 s1, anche se non mi sono mai fidato della sua risposta.Ho fatto anche una visita presso una universita’ dove c’era un bravissimo angiologo e fatta l’indagine con ecodoppler mi ha detto di avere un edema alla caviglia da malappoggio plantare, ho fatto i plantari e li porto tuttora ma il problema è sempre lo stesso secondo me come dice lei ci deve essere un’ ernia a livello inguinale o femorale. Come potrei se riesco a rifare tutte le indagini a vargliele visionare? ho tanta fiducia in lei poichè leggendo le sue risposte si avvicinano tanto al mio problema. la ringrazio ancora per la sua cortesia e disponibilità attendo una sua risposta. Grazie raffaele
Io non credo in realtà che ci sia un’ernia crurale o inguinale, ma la diagnosi presunta è quella di cruralgia. Il regista di tutto è sempre il medico di famiglia che mi pare si sia comportato in modo diligente. Il pensiero di un Ortopedico per la cruralgia? Dove risiedi? Alla prossima, ddg.
Risiedo in calabria precisamente a catanzaro. Mi può suggerire qualcosa? L’ultima visita che ho fatto circa tre mesi fa’ mi hanno detto di avere il nervo piriforme infiammato ho fatto delle infiltrazioni di ozono ma nulla…. la ringrazio. Raffaele
Caro, ormai carissimo Raffaele, il ruolo del chirurgo nel tuo caso non ha spazio. La patologia descritta alla RNM L5-S1 può sicuramente essere responsabile di parecchi problemi che io non posso indicare. C’è anche uno stretching dedicato al muscolo piriforme. Consulta pertanto al riguardo un Fisiatra o ancora un Ortopedico e persevera nelle indicazioni di questi Specialistici perchè hanno loro la chiave di risoluzione dei tuoi “affanni”. Un cordiale abbraccio, ddg.